9 年
手机商铺
公司新闻/正文
3878 人阅读发布时间:2022-08-30 11:55
原代和永生化角质形成细胞是研究表皮正常和病理生物学的基本模型。 在这项研究中,我们通过ALI的培养方式构建了类器官皮肤模型。
实验方法
将原代人新生儿真皮成纤维细胞混合I型鼠尾胶原蛋白接种在小室内,小室膜孔径3um,材质PET。上下室均加入培养基,培养7天之后,胶原收缩。将上室培养基去除,在胶原顶部接种原代人新生儿真皮角质形成细胞或 Ker-CT细胞(Ker-CT 细胞系是通过将表达人类端粒酶 hTERT 和小鼠细胞周期蛋白依赖性激酶基因的逆转录病毒引入人类新生儿包皮角质形成细胞而开发的永生化角质形成细胞),37℃培养箱内孵育2小时,帮助细胞黏附在胶原顶层。上下室添加表皮化培养基1,培养2天后,将下室培养基更换为表皮化培养基2,并将上室培养基去除,开始气液界面培养。气液界面培养11至21天后,对小室内细胞进行固定和染色。(实验步骤参考,图1)

图1:在嵌有原代真皮成纤维细胞的胶原上生长的原代角质形成细胞或 Ker-CT的共培养过程
实验结果
进行气液界面培养11天和21天之后,原代角质形成细胞或 Ker-CT细胞均发育成特征性的分层表皮结构,具有增殖的基底和分化的基底上角质形成细胞,以及明显的表层角质层。(图2,图3)

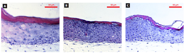
图2:ALI 培养后11 天后,原代人新生儿真皮角质形成细胞(A)或 Ker-CT细胞(B&C)在嵌有原代真皮成纤维细胞的胶原凝胶顶部的H&E染色显微照片

图3:ALI 培养后21 天后,原代人新生儿真皮角质形成细胞(A)或 Ker-CT细胞(B&C)在嵌有原代真皮成纤维细胞的胶原凝胶顶部的H&E染色显微照片
对形成的表皮结构冷冻切片(纵切截面)的免疫组化结果同样验证了ALI 培养的原代角质形成细胞显示出与体内皮肤相似的结构。(图4)

图4:原代角质形成细胞在嵌有原代真皮成纤维细胞的胶原蛋白凝胶上ALI培养 11 天后,形成与体内皮肤相似的结构。图 A 是放大 10 倍的相差显微照片。图B - E 显示用不同抗体进行免疫染色的角质形成细胞 B) DAPI,C) KRT14,D) 聚丝蛋白,E) 以上所有叠加
原代人新生儿真皮角质形成细胞或Ker-CT细胞在ALI培养条件下,均形成了能够很好模拟真实皮肤的体外3D皮肤模型,在伤口愈合、真皮重塑、癌症形成,药物毒理学评价等过程中可作为很好的真皮组织研究替代工具。
康宁可提供丰富的可穿透性小室(Transwell/Insert),用于气液界面模型的构建。既有小室和孔板预组装的Transwell产品线,也有可单独购买小室和接收孔板的Falcon insert小室,提供多种膜孔径和小室规格可以满足不同的实验需求。
欢迎拨打康宁生命科学热线或发送邮件至技术邮箱咨询,我们的技术专家将为您提供服务。
康宁生命科学热线电话:400-600-0207
康宁生命科学技术邮箱:scientificsupportap@corning.com